Κορίνθου 287, Πλατεία Γεωργίου, Πάτρα | τ. +30 698 212 1860

ΑΘΑΝΑΣΙΑ

pm

 

ΑΝΤΩΝΗΣ

pm

 

ΑΠΟΣΤΟΛΗΣ

pm

 

ΑΡΕΤΗ

pm

 

ΒΑΓΓΕΛΗΣ

pm

 

ΒΑΣΙΛΕΙΑ

pm

 

ΓΕΩΡΓΙΑ

pm

 

ΓΙΩΡΓΟΣ

pm

 

ΕΛΒΙΡΑ

pm

 

ΕΥΑΓΓEΛΙΑ

pm

 

ΗΛΙΑΝΑ

pm

 

ΘΥΜΙΟΣ

pm

 

ΝΤΙΜΗ

pm

 

ΣΠΥΡΙΔΟΥΛΑ

pm

 

ΧΑΡΑ

pm

 

ΧΡΙΣTΙΝΑ

pm

 

Ευάγγελος Β. Γκόγκας DDS

  • • Πτυχιούχος Πανεπιστημείου Αθηνών
  • • Μέλος της Ελλην. Ακαδημίας Αισθητικής Οδοντιατρικής
  • • Μετεκπαιδευθής στην Εμφυτευματολογία στο New York UniversityCollege of Dentistry
  • • Διδάκτωρ Αισθητικής Οδοντιατρικής τμήματος Μηχανικών Επιστήμης Υλικών Παν/μίου Ιωαννίνων
  • ΒΙΟΓΡΑΦΙΚΟ

Το ιατρείο

1 Ο χώρος εργασίας στο οδοντιατρείο, με μοντέρνο εξοπλισμό και αισθητική για την ανεση των ασθενών.

Δείτε τον χώρο

Τοποθεσία

Κορίνθου 287, Πλατεία Γεωργίου, Πάτρα Τ.Κ 45 444

τ. +30 698 212 1860

Βρείτε μας στον χάρτη με οδηγίες

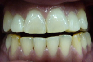
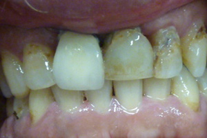
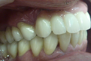
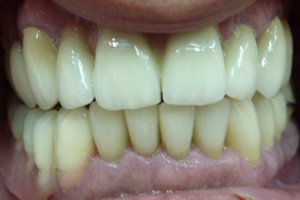
Αισθητική, Θεραπευτική και Αποκαταστατική Οδοντιατρική

Επικοινωνήστε μαζί μας